L'excellence au service de votre sourire

Bienvenue chez Laboratoire Parent, votre partenaire de confiance en prothèses dentaires à Marseille. Forts d'un savoir-faire artisanal français, nous nous engageons à fournir des solutions de qualité, personnalisées et durables pour répondre aux besoins spécifiques de chaque patient. Découvrez notre passion pour l'excellence et notre engagement envers la satisfaction de nos clients dentistes.

Nos services

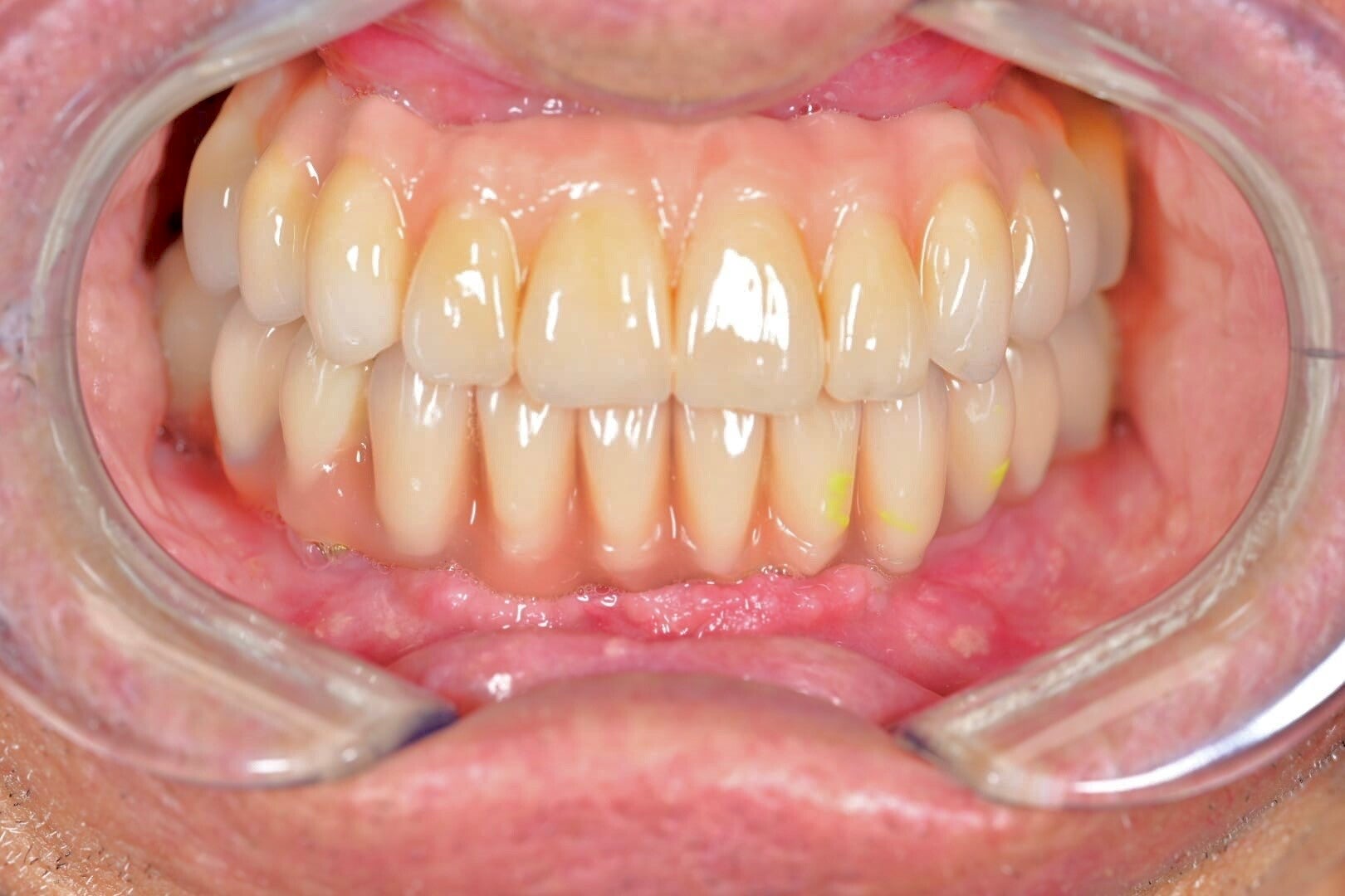
Nous offrons une gamme complète de services en prothèses dentaires, allant des solutions classiques aux techniques les plus innovantes. Notre objectif est de fournir des prothèses esthétiques, fonctionnelles et confortables, conçues avec précision et adaptées aux exigences de chaque cas.

Prothèses fixes

Couronnes, bridges, inlays et onlays : nous réalisons des prothèses fixes sur mesure, en utilisant des matériaux de haute qualité tels que la céramique et le zircone, pour un résultat esthétique et durable.

Technologie cao/fao

Nous utilisons les technologies de conception et de fabrication assistées par ordinateur (CAO/FAO) pour garantir une précision et une qualité optimales de nos prothèses. Cette approche numérique nous permet de réaliser des prothèses sur mesure avec une grande efficacité.

Adresse

25 bd du Dr David Olmer

13005 Marseille

Horaires d'ouvertures

Du lundi au vendredi : de 9h à 18h


Contact

06.35.36.39.89